Contact Info

Osteochondroma

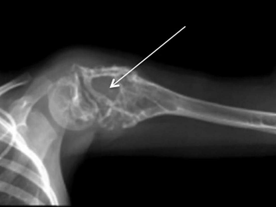
Osteochondroma is the most common benign bone tumor, characterized by the growth of a bony projection capped by cartilage. These growths typically occur near the ends of long bones, such as the femur (thigh bone), tibia (shinbone), or humerus (upper arm bone), but can also develop on flat bones like the pelvis or shoulder blades. Osteochondromas develop during childhood or adolescence, often as a result of abnormal bone growth at the growth plate (epiphyseal plate) where bones lengthen. While the exact cause is not fully understood, osteochondromas are thought to arise from a combination of genetic mutations and environmental factors. In many cases, osteochondromas do not cause any symptoms and are discovered accidentally. While osteochondromas are typically benign and do not pose a significant health risk, complications can arise in certain cases.

Ewing sarcoma

Ewing sarcoma is a rare type of cancer that primarily affects the bones or soft tissues. It most commonly occurs in children and young adults, typically between the ages of 5 and 20, although it can also occur in older adults. Ewing sarcoma is characterized by the abnormal growth of cells in the bone or soft tissue, forming a tumor that can be aggressive and may spread to other parts of the body if not treated promptly. Ewing sarcoma is diagnosed through a combination of clinical evaluation, imaging studies, and tissue biopsy. Imaging studies such as X-rays, CT scans, MRI, or bone scans may be used to visualize the tumor and assess its size, location, and extent of involvement.

Osteogenesis imperfecta

Osteogenesis imperfecta , also known as brittle bone disease or Lobstein syndrome, is a rare genetic disorder characterized by fragile bones that are prone to fracture or breakage, often with minimal trauma or even spontaneously. OI is primarily caused by mutations in genes responsible for producing type I collagen, a protein that provides strength and structure to bones and other connective tissues. Osteogenesis imperfecta is primarily inherited in an autosomal dominant pattern, meaning that a child has a 50% chance of inheriting the mutated gene from an affected parent. OI can also result from spontaneous mutations in the affected genes. There are several types of OI, each with its own distinct genetic cause and clinical features, ranging from mild to severe.